VENUS

Intelligent Magnetic Navigation System Based on Multi-modal Medical Fusion Ultrasound

Non-Vascular Interventional Solution

REDEFINE

Navigation & Fusion

Our solution features application-based real-time multi-modality image fusion, high speed 3D engine, efficient algorithms, and electro- magnetic tracking, resulting in high-res anatomical structures and instruments being displayed within a virtual 3D environment for effortless navigation, precise access, short procedural duration, and less potential complications.

    NON-VASCULAR INTERVENTION PAIN-POINTS

  • Risks during puncture: bleeding, infection, unintended injury
  • Hard to locate lesion by Ultrasound only
  • lonizing radiation & high cost of C-arm X-ray

    CLINICAL APPLICATION UROLOGY

  • Supports treatments for kidney, prostate, bladder. Stone clearing, tumor biopsy/ablation, neuromodulation.

    ADVANTAGES

  • Safer interventions through accurate MRI/CT (pre-op)-Ultrasound(in-op) fusion
  • Real-time 3D navigation with probe and needle tracking for pathway planning
  • 1-minute automatic multi-modal target-organ and ROIs segmentation and alignment
  • ZERO (in-op) ionizing radiation for PCNL
  • Enhance prostate biopsy positive-detection rate
  • User-friendly organ-specific program (kidney, prostate, etc.)

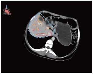
CT-Ultrasound Fusion in PCNL

3D CT reconstruction

CT-Ultrasound real-time fusion

3D navigation and tracking

MRI-Ultrasound Fusion in Transperineal Prostate Biopsy

Bi-planar MRI-Ultrasound real-time fusion

3D navigation and tracking

Automatic visualization of lesions and systematic targets

HEPATOLOGY

Liver tumor ablation, ultrasound-guided ERCP, pancreatic cancer biopsy.

MUSCULOSKELETAL

Rehabilitation for hemiplegic shoulder pain, cricopharyngeal muscle dysfunction treatment.

    USER-FRIENDLY

  • 24" HD screen & 17" touch screen panel
  • User-friendly GUI and guided workflow
  • Professional organ-specific program
  • Flexible electromagnetic transmitter folding arm
  • 4 Ultrasound probe sockets
  • Fast magnetic sensor connecting

Elevate your biopsy accuracy with Intelligent Fusion Ultrasound

Contact Us
Chat With Us